Forp da USP recruta voluntários para estudo sobre tratamento de doenças gengivais

Poderão participar maiores de 18 anos que tenham ao menos 14 dentes naturais

  • Go to the profile of  Nando Medeiros
Nando Medeiros
· 1 minuto de leitura
Forp da USP recruta voluntários para estudo sobre tratamento de doenças gengivais

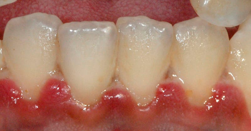
A Faculdade de Odontologia de Ribeirão Preto (Forp) da USP abriu recrutamento de voluntários para uma pesquisa clínica que avalia tratamentos periodontais. O estudo, ligado a um trabalho de mestrado, examina intervenções voltadas a condições que provocam sangramento, inflamação, mobilidade dentária, presença de pus e exposição radicular.

Poderão participar maiores de 18 anos que tenham ao menos 14 dentes naturais; o recrutamento inclui pessoas com diabetes, inclusive quando combinada com hipertensão. Estão fora do escopo fumantes, pacientes com outras doenças sistêmicas, quem tomou antibiótico nos últimos seis meses, usuários de aparelhos ortodônticos e lactantes.

Durante a pesquisa, os procedimentos oferecidos serão exclusivamente de tratamento periodontal, como raspagem, profilaxia e remoção de fatores que mantêm a inflamação gengival. Serão selecionados participantes que apresentem sinais clínicos de doença periodontal, como sangramento gengival, dentes móveis, presença de pus ou recessão radicular.

A pesquisa é realizada pela mestranda Ana Carolina Duarte Firmino, sob orientação do professor Mário Taba Júnior. Interessados devem preencher o formulário on-line disponibilizado pela universidade e podem obter mais informações pelo WhatsApp (16) 99402-7321.